Please ensure Javascript is enabled for purposes of website accessibility

Check Out Our Patient Smile Gallery

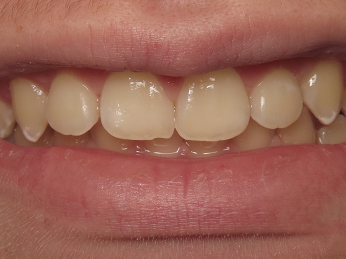
Want to see before and after photos showing how our dental services can help you? You’ve come to the right place! The following is our “smile gallery” with before and after images of our actual patients.

To view a before and after, simply hover the cursor over the middle icon; slide to the right to view the before photo, and slide to the left to view the patient’s results.

Icon White Spot Treatment

Icon White Spot Treatment

Veneers

Veneers

Veneers

Veneers

Invisalign Case

Invisalign Case

Cosmetic Crowns, Invisalign Case

Cosmetic Crowns, Invisalign Case

Invisalign, Gum Surgery

Invisalign, Gum Surgery

Invisalign Case

Invisalign Case

Dental Implants, Cosmetic Crowns

Dental Implants, Cosmetic Crowns

Invisalign Case

Invisalign Case

Invisalign Case

Invisalign Case

Hybrid Denture, Implant Denture

Hybrid Denture, Implant Denture

Cosmetic Crown Case

Cosmetic Crown Case

Invisalign, Cosmetic Crowns, Veneers

Invisalign, Cosmetic Crowns, Veneers

Cosmetic Crowns, Bridges

Cosmetic Crowns, Bridges

Cosmetic Crowns, Veneers

Cosmetic Crowns, Veneers

Cosmetic Crowns, Veneers

Cosmetic Crowns, Veneers

Traditional Orthodontic Case

Traditional Orthodontic Case

Invisalign Case

Invisalign Case

Invisalign Case

Invisalign Case

Invisalign Case

Invisalign Case

Cosmetic Crown Case

Cosmetic Crown Case

Cosmetic Crown Case

Cosmetic Crown Case

Cosmetic Crown Case

Cosmetic Crown Case

Cosmetic Crown Case

Cosmetic Crown Case

Cosmetic Crown Case

Cosmetic Crown Case

White Spot Treatment Case

White Spot Treatment Case

Cosmetic Bonding Case

Cosmetic Bonding Case

Cosmetic Bonding Case

Cosmetic Bonding Case

Cosmetic Bonding Case

Cosmetic Bonding Case